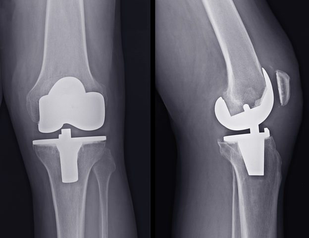
During knee replacement surgery, knee joints damaged by arthritis can be replaced with an artificial knee, also known as a prosthetic knee. A prosthetic knee can help restore mobility and reduce pain in the affected knee. When the joints of both knees are damaged, double knee replacement may be recommended. A doctor will usually recommend…
Our Blog
Are You a Candidate for Knee Replacement?
Knee replacement removes a damaged knee joint and replaces it with an artificial joint. Your knee is the largest joint in your body. It’s involved in most of your movements throughout the day. The goal of knee replacement, also known as knee arthroplasty, is to restore pain-free range of motion and function. When it comes…
Hiking and Knee Pain: How to Find Relief
So, you are on a hike or doing a lot of walking, and realize that your knees are not feeling as resilient as they used to be. Our instinct with pain is to try and move on and ignore it, however as we get older, sometimes that pain in your knees becomes so unbearable that…
Do You Need Rotator Cuff Repair?
The shoulder is an extremely complex yet elegant piece of machinery. It happens to have the greatest range of motion of any joint in the body. However, this large range of motion can cause the shoulder to become unstable, leading to joint problems and the site of multiple injuries. Your shoulder joint is composed of…
What is An ACL Tear, and How is It Treated?
If you ever had any sort of injury, especially a knee injury, you probably appreciate how your knees power you through various sports and activities: kicking, jumping, running, and pivoting. To avoid knee injuries, it helps to understand how your knees work and what you can do to protect or support them. What’s in a Knee?…





Read our Blog
Patient Education